Definify.com
Definition 2026
polycythemia_vera
polycythemia vera
English

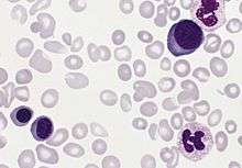
Wright-Giemsa stain of a blood smear from a PV-patient with myeloid metaplasia, showing three red blood cell precursors and slight to moderate anisopoikilocytosis
Alternative forms
- polycythaemia vera
- PV
Noun
polycythemia vera (plural polycythemia veras)
- neoplasm of bone marrow in which too many red blood cells are produced, usually along with white blood cells and platelets
Synonyms
- erythremia
- primary polycythemia
- Vaquez disease
- Osler-Vaquez disease
- polycythemia rubra vera (PRV)